Voorgeschiedenis #
Berry is een patiënt met een uitgebreide medische historiek. Naast de recent ontdekte levertumor, heeft hij ook met longfibrose, cardiale afwijkingen, diabetes mellitus en een chronische huidallergie die wel onder controle is. Hij werd eerst onderzocht door een andere dierenarts, daar werd eerst een echografisch onderzoek gedaan en toen werd de massa in de lever vastgesteld. Ze hebben dan echo begeleid een FNA genomen en opgestuurd naar het labo. Daaruit bleek er een sterk vermoeden te zijn voor een hepatocellulair carcinoom. Hij werd doorgestuurd naar ons voor verder onderzoek en chirurgie.
Na uitgebreide diagnostiek (CT-scan, echocardiografie) en uitsluiting van lymfoom, werd een hepatocellulair carcinoom bevestigd. Op 17/11/2025 onderging hij een succesvolle lobectomie van de linker laterale leverlob, zonder complicaties.
Diagnose en preoperatieve evaluatie #
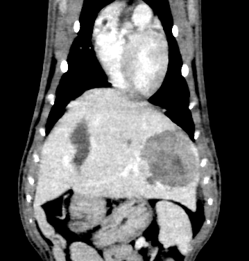
Bij Berry werd eerste een CT-scan uitgevoerd met contrast om de levermassa goed in beeld te brengen. Er werden ook degeneratieve veranderingen in de nieren en milde lymfadenomegalie vastgesteld.


Preoperatief werd een echocardiografie uitgevoerd om het anesthesierisico in te schatten. Deze toonde geen hartvergroting, maar wel een dynamische obstructie van de linker ventrikel outflow tract.
Eind oktober werd de rechter inguinale lymfeknoop verwijderd en opgestuurd voor pathologie om lymfoom of hyperplasie uit te sluiten. Uit dit onderzoek bleek dat de lymfeknoop reactief was maar er werd geen hyperplasie terug gevonden.
Chirurgische ingreep #
Op 17/11/2025 werd Berry onder algemene anesthesie gebracht voor een lobectomie van de linker laterale leverlob. Deze werd vlot verwijderd, geen intra-operatieve complicaties en de anesthesie is goe verlopen.
Hij werd voor recovery naar de hospi gebracht waar hij vlot ontwaakt is. Zijn post-operatieve behandeling was een CRI fentany die later werd overgeschakeld naar boli buprenorfine. Hij kreeg nog cefalosporine als antibiotica en metacam als NSAID.
Berry bleef één nacht ter observatie en tegen de avond na zijn operatie begon hij al te eten. Zijn parameter werden opgevolgd zoals temperatuur, ademhaling, hartfrequentie, bloeddruk, glucose, ausculatie van de longen en het hart, die allemaal stabiel waren met uitzondering van een lichte verhoging van de glucose (171 mg/dl). De volgende dag mocht hij naar huis.
De linker laterale leverlob met de massa werden opgestuurd voor pathologie naar een extern labo. Daar werd bevestigd dat het hepatocellulair carcinoom is. Deze werd ruim weggenomen en zou in de meeste gevallen een curatieve behandeling zijn. Er wordt wel aangewezen dat Berry idealiter nog terugkomt voor controle om via echografie na te gaan of er geen metastases zijn.
Bijzonderheden van deze case #
Berry illustreert hoe complex patiënten kunnen zijn wanneer meerdere chronische aandoeningen samenkomen. Het anesthesierisico was verhoogd door de combinatie van hartproblemen, longfibrose en diabetes. Een nauwe samenwerking tussen chirurg, anesthesist en internist was cruciaal om deze ingreep veilig te laten verlopen.
Conclusie #
Deze case benadrukt het belang van een multidisciplinaire aanpak bij patiënten met meervoudige aandoeningen. Dankzij een grondige preoperatieve evaluatie en intensieve postoperatieve opvolging kon Berry succesvol geopereerd worden, ondanks zijn complexe medische achtergrond.