Voorgeschiedenis #
Een Engelse springer spaniel , mannelijk, 8jaar oud, 23 kg wordt aangeboden met de klacht van manken sinds geruime tijd aan de linker voorpoot.
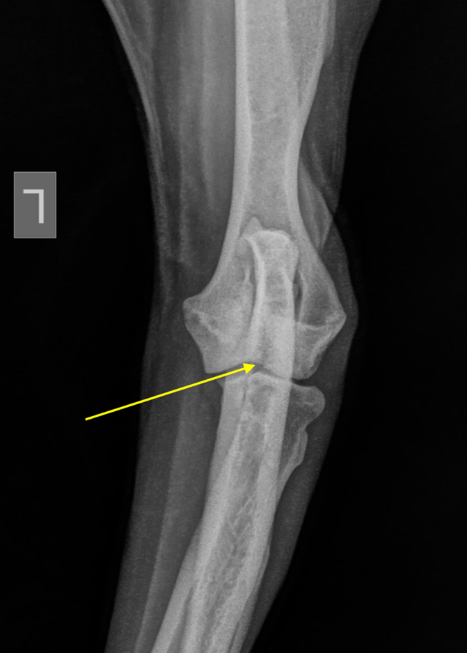
Er werd reeds eerder radiografisch onderzoek uitgevoerd bij een collega ( fig 1) zonder duidelijke diagnose en een behandeling met NSAIDS wordt opgestart zonder resultaat maar sinds het laatste onderzoek 4-5 dagen geleden is het manken acuut verergerd.
Klinisch onderzoek #
- Fractuur mank op de linker voorpoot
- Moeilijke extensie van de elleboog met crepitatie.
- De doorgestuurde RX-foto is sterk verdacht voor een aangeboren afwijking die wel eens bij Springer spaniels voorkomt.
Fig 1. Op deze radiografie is er toch een fissuur lijn zichtbaar intercondylair

Om een duidelijker beeld te krijgen over deze afwijking en omdat de radiografie slechts een discrete fissuur toont die niet overeenstemt met de actuele klinische klacht werd een CT-scan voorgesteld om beide ellebogen meer in detail in beeld te brengen.
Resultaten CT scan
Zoals klinisch reeds verdacht is de fissuur in de linker elleboog geëvolueerd naar een totale fractuur. In de rechter elleboog is ook een duidelijke fissuur lijn zichtbaar.
Fig. 2: Rechter elleboog vertoont een fissuur zonder verplaatsing intercondylair. In de linker elleboog zijn beide condylen van elkaar losgeslagen.

In een 3 d reconstructie (Fig.3.) is het totaalbeeld nog duidelijker en zie je de verplaatsing van de laterale humerus condyl en de fractuur lijn in de epicondylaire kam lateraal.
Fig. 3:

Diagnose #
Primair: incomplete ossificatie (IOHC) of humerale intercondylaire fissuur (HIF) van de humerus condyl links en recht
Secundair: fractuur laterale condyl: Salter type 4.
Oorzaken IOHC of HIP #
De mineralisatie van de twee aparte verbeningscentra van de distale humerus begint rond de 14-22 dagen na de geboorte.
Eén deel vormt de laterale condyl en de andere vormt de mediale condyl.Tijdens de verdere mineralisatie worden de twee centra gescheiden door een kraakbenige plaat totdat deze vergroeien ronde de 8e tot 12e week na de geboorte. De locatie van de fissuur bij de actuele pathologie komt zeer goed overeen met deze kraakbenige plaat. In vroegere rapporten over deze aandoening werd dan ook voorgesteld dat er een falen zou optreden van de ossificatie waardoor fusie van de condylen niet optrad. Vandaar de naam IOHC.
Later onderzoek toonde aan dat in deze zone eerder fibreus weefsel voorkwam in plaats van kraakbeen wat verwacht zou worden.
Men zou dan ook bij deze aandoening eerder een fractuur verwachten op jongere leeftijd terwijl we dit bij Springer spaniels eerder terugvinden op oudere leeftijd.
De laatste jaren denkt men dus eerder aan het ontstaan van een stress fractuur bij volwassen honden. Indien het optreedt bij jongere dieren dan zou echter wel een incomplete ossificatie de oorzaak kunnen zijn.
Bij volwassen springer spaniels komt ook vaak een losse processus coronoideus voor wat erop zou kunnen wijzen dat er aan de basis een conformatie fout zou kunnen zijn.
Bij deze HIF honden ziet men artroscopisch ook de fissuurlijn en deze kan door interne rotatie van de elleboog tijdens de artroscopie een verwijding van de fissuur vertonen.
Analyse van de stamboom bij de american cocker spaniel suggereert dat HIF een genetische basis kan hebben met recessieve wijze van overerving.
Behandeling #
Bij een standaard HIF met klinische klachten zonder verplaatsing is de plaatsing van een transcondylaire compressie schroef aangewezen. Deze schoeven vertonen vaak later complicaties tot 60%!!! Seromas, infecties meest voorkomend.
De fissuur zal zelden beenderige fusie vertonen en dit betekent dat de krachten permanent ook zullen verwerkt moeten worden door de schroef. Vandaar dat met bij deze patienten meestal oversized schroeven gebruikt ( voor een Engelse springer spaniel een 4,5 schroef!), merkelijk groter dan bij een standaard condyl fractuur.
In het geval van een acute fractuur is een operatieve stabilisatie aangewezen.
Hiervoor moet de fractuur perfect gereduceerd worden en adequaat gefixeerd worden.
Een extra stevige compressie schroef en een extra plaat op de epicondylaire kam is de minimale fixatie. Fig .4 en 5.
Bij niet klinische patiënten waar HIF per toeval getedecteerd wordt is de kans op een fractuur later rond de 18% binnen de 2 jaar na detectie. Een eventuele preventieve operatie zal dan in elk geval met de eigenaars besproken dienen te worden met de afweging van het risico op fractuur in te schatten ten opzichte van de operatiekost en de mogelijke operatie complicaties.
Fixatie met een 4,5 corticale schroef geplaatst als compressie schroef en een ALPS 9 plaat met 3,5 locking schroeven. Een K wire is zichtbaar en werd gebruikt als tijdelijke fixatie pin vooraleer de plaat te fixeren.
Fig. 4

Fig. 5

Conclusies #
- Bij Spaniel rassen steeds de mogelijkheid van HIF meenemen in een differentiaal diagnose.
- CT scan is gevoeliger om dit op te sporen dan radiografie.
- Symptomatische gevallen best behandelen met een stevige transcondylaire schroef met een dikte van minimum 30-50% van de diameter van de condylaire isthmus.
- Een mediale plaatsing van deze schroef wordt aangeraden indien het enkel een fissuur betreft.
- Complete fracturen worden behandeld volgens de standaard AO principes van articulaire gewrichtsfracturen: perfecte anatomische reductie en correcte implant fixatie.
- In geval van een laterale condyl fractuur is een plaat vereist op de epicondylaire kam in plaats van de klassiekle K -wire.
- Nonsymptomatische gevallen van HIP riskeren 18% kans op fractuur binnen de 2 jaar na diagnose.