Case van dierenarts Vicky Verreycken
Behandelplan en chirurgische techniek #
Bij dergelijke tumoren wordt een volledige chirurgische excisie aanbevolen gezien de hoge mate van recidieven na marginale verwijdering van de massa. Als er sprake is van geringe botinfiltratie wordt een excisiemarge van minimaal 1 cm rond de neoplasie aanbevolen. Dit type tumoren zaait gelukkig zelden uit, dus lokale chirurgische behandeling is meestal ook genezend.

![]() |
![]() |
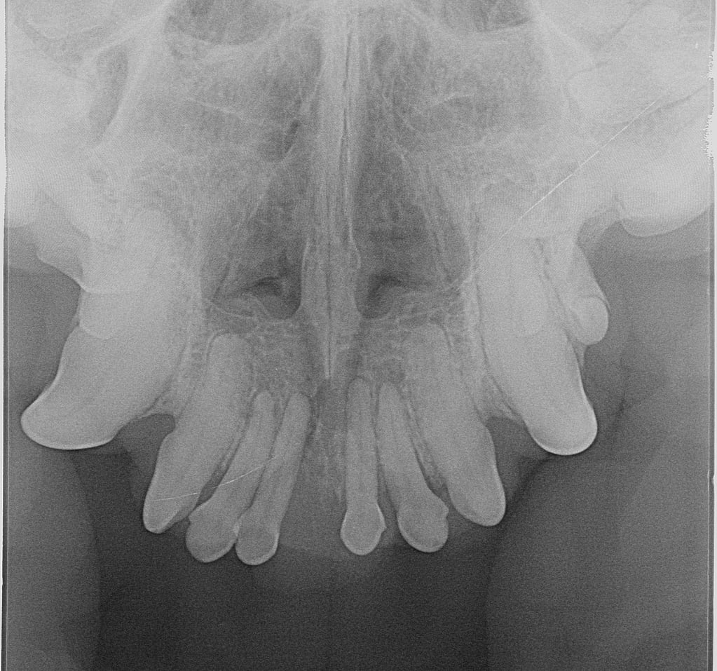
De gouden standaard voor beeldvorming bij tumoren in de mondholte is doorgaans CT, maar aangezien het om een ameloblastoom gaat en we weten dat het enkel lokaal invasief groeit, was dentale radiografie in dit geval voldoende.
We planden voor Rosa een premaxillectomie in, waarbij we een resectie doen van beide os incisivi inclusief alle omgevende weke delen/structuren (en block excisie).
Dergelijke ingrepen kunnen gepaard gaan met erg veel bloedverlies gezien de locatie, welke verder nog bemoeilijkt wordt door de moeilijke toegankelijkheid van bloedvaten omdat ze omgeven zijn door bot.
![]() |
![]() |
In onze kliniek worden kaakamputaties om die reden uitgevoerd met een piëzotoom. Het voordeel van deze techniek is dat het bot afbreekt door ultrasone vibraties, maar de weke delen zoals bloedvaten en zenuwen spaart. Hierdoor is deze techniek veel minder invasief dan de conventionele oscillerende botzaag.
Herstel en follow-up #
Enkele uren na de ingreep kon Rosa al naar huis. Op de controleafspraak wisten de eigenaars ons te vertellen dat ze buiten de effecten van de anesthesie de dag zelf, amper iets hadden gemerkt aan haar.
Ondertussen zijn we een half jaar verder en Rosa is nog steeds haar vrolijke zelve.
![]() |
![]() |





