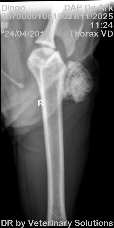
Tijdens het lichamelijk onderzoek werd een harde, niet verplaatsbare massa gepalpeerd ter hoogte van de laterale zijde van de humerus. Naar aanleiding van deze bevinding werd een radiografie uitgevoerd. Hierop was een massa met botopaciteit zichtbaar aan de laterale zijde van de proximale humerus (zie bijgevoegde RX). Biopsie werd ingepland en histopathologisch onderzoek bevestigde de diagnose van een laaggradig chondrosarcoom.
Chondrosarcoom bij de kat: kenmerken en behandeling #
Chondrosarcomen zijn zeldzame neoplasieën bij de kat en ontstaan uit kraakbeenweefsel. Ongeveer twee derde van de gevallen ontstaat ter hoogte van de lange beenderen, waarbij mankheid vaak de belangrijkste klinische klacht vormt. Andere voorkomende lokalisaties zijn de platte beenderen, zoals de schedel, ribben, sternum, bekken en scapula, evenals subcutane weefsels waar de tumor zich presenteert als een onderhuidse massa.
Hoewel chondrosarcomen relatief snel lokaal kunnen groeien, is de kans op metastasering bij de kat beperkt. Hierdoor kan een chirurgische behandeling in veel gevallen curatief zijn, zeker wanneer de tumor volledig kan worden verwijderd.
Voorafgaand aan een chirurgische ingreep wordt een uitgebreide diagnostische work-up aanbevolen om mogelijke metastasen uit te sluiten en de algemene gezondheidstoestand van de patiënt in kaart te brengen. Deze stagering omvat thoracale radiografieën, bloedonderzoek, urineonderzoek en echografisch onderzoek van het abdomen. Daarnaast wordt het aangeraden om regionale lymfeknopen te puncteren en cytologisch te onderzoeken.
De voorkeursbehandeling van chondrosarcoom bij de kat bestaat uit chirurgische verwijdering met ruime marges. Hierbij wordt niet alleen de zichtbare massa verwijderd, maar ook een voldoende hoeveelheid omliggend gezond weefsel om het risico op lokaal recidief te beperken. In het geval van een bottumor ter hoogte van een lidmaat wordt doorgaans een amputatie van het aangetaste lidmaat aanbevolen.
Behandelkeuze en opvolging #
De eigenaars besloten geen chirurgie bij Dingo uit te voeren, maar hem palliatief met pijnstilling te blijven behandelen. Tot op heden doet hij het goed voor de eigenaars en lijkt hij geen last te hebben van zijn voorpoot.
