Klinisch Onderzoek en Diagnostiek #
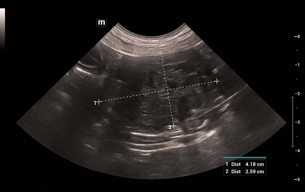
Tijdens het lichamelijk onderzoek werden tachycardie, een pijnlijk abdomen, cryptorchidie en tekenen van feminisatie (dunne vacht, prominente tepels en afhangend preputium, zie foto 1) vastgesteld. De patiënt kreeg een intraveneuze toediening van methadon waarna een echografie van het abdomen werd uitgevoerd. In het caudale deel van het abdomen werd een ovale, regelmatige, heterogene, hypo-echogene massa waargenomen (foto 2). Kleurendoppler toonde een ondermaatse doorbloeding van de massa aan. Aangezien de hond cryptorch was, werd de massa gediagnosticeerd als een abdominale neoplastische getorteerde testikel. De scrotale testikel was eerder atrofisch. Vervolgens werd een bloedonderzoek uitgevoerd. Uit de resultaten van de hematologie kon afgeleid worden dat de patiënt pancytopenie had. Deze resultaten deden vermoeden dat de cryptorche testikel een sertoliceltumor bevatte.

Foto1

Foto2
Behandeling en Postoperatief Verloop #
Vooraf aan de chirurgie (foto 3) ontving de hond 100 ml DEA negatief volbloed. Postoperatief bleef de patiënt echter abdominale pijn vertonen ondanks buprenorfine IV elke 6-8 uur en een CRI van lidocaïne IV. Op de derde dag werd een naso-esofageale sonde geplaatst o.w.v. aanhoudende anorexie. Op de vijfde dag was de patiënt stabiel en mocht hij de kliniek verlaten.
De hond werd de volgende dag opnieuw aangeboden wegens braken. Er werd een nieuw bloedstaal genomen voor hematologie waaruit bleek dat de patiënt opnieuw sterk pancytopenisch was. De eigenaars zagen een nieuwe bloedtransfusie echter niet zitten en de hond werd ingeslapen. Het histopathologisch onderzoek bevestigde de aanwezigheid van een sertoliceltumor in de cryptorche testikel.
Achtergrondinformatie en Advies #
Cryptorchidie geeft een verhoogd risico voor de ontwikkeling van testiculaire neoplasie. 50% van de sertoliceltumoren komen voor bij cryptorche testikels. 20-30% van de honden met een sertoliceltumor vertonen tekenen van hyperestrogenisme, waaronder beenmergsuppressie. Deze suppressie veroorzaakt een aplastische anemie. Deze wordt gekarakteriseerd door een niet regeneratieve anemie, neutropenie en thrombocytopenie. Oestrogeen-toxiciteit resulteert vaak in overlijden of een zeer lange herstelperiode voor de patiënt.
Castratie van de cryptorche testikel wordt geadviseerd om tumorale ontaarding te voorkomen. In onze kliniek voeren we deze castratie minimaal-invasief en laparoscopisch uit om de herstelperiode voor de patiënt zo kort mogelijk te houden.